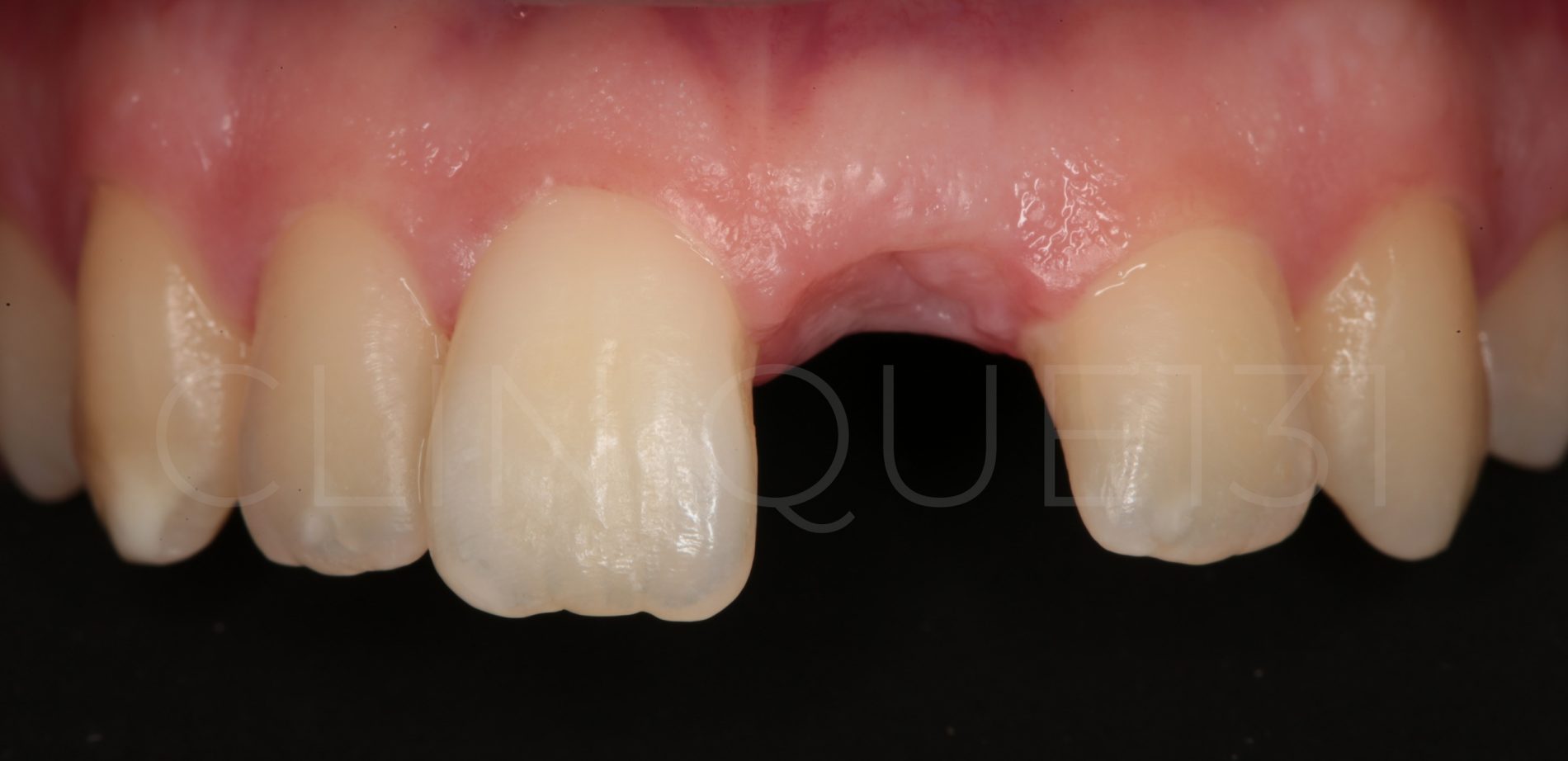
Situation clinique #1
À l’âge de 18 ans j’ai perdu mon incisive centrale gauche suite à un accident : conseillée par une amie qui avait été traitée par le Dr. Gardella il y a quelques années. Je me suis rendu à Marseille chez ce spécialiste car je désirais un résultat parfaitement esthétique.
Durant de longues années j’ai été très complexée car je n’osais sourire et n’envisageais absolument pas que l’on touche à mes dents saines.
La pose de l’implant a été réalisé sans aucune douleur et 4 mois plus tard ma couronne entièrement en céramique était installée. Je savais à quel point le travail réalisé à la Clinique131 était de qualité : ma couronne sur implant a été réalisée par un des meilleurs prothésistes en Europe.
Désormais ma famille et mes amis me complimentent régulièrement et trouvent mon sourire magnifique : j’ai retrouvé ma joie de vivre.
Situation clinique #2
Je suis née sans mes incisives latérales définitives (agénésies) : mon orthodontiste m’a adressé à la Clinique131 afin d’envisager le remplacement de ces 2 dents. Après des examens complémentaires la solution implantaire a pu être retenue.
Cela fait maintenant plus de 14 ans que j’ai été traitée : j’effectue régulièrement des visites de contrôle qui font partie du suivi indispensable. Ce traitement est pour moi une véritable réussit : ce sont mes vraies dents.







